ADA HASTANESİ, AYNI SEANSTA HEM MİTRACLIP HEM TRICLIP TEDAVİSİNİ İKİ HASTADA BAŞARIYLA UYGULAYARAK BÖLGEDE TARİHİ BİR UYGULAMAYA İMZA ATTI

Giresun Ada Hastanesi

Giresun Ada Hastanesi

Giresun Ada Hastanesi, minimal invaziv yöntemlerle hem MitraClip hem Triclip uygulamasını aynı seansta iki hastada başarıyla gerçekleştirerek bölgede bir ilke imza attı. Hastalar kısa sürede normal yaşamlarına dönebildi.

Giresun Ada Hastanesi, kalp kapak hastalıklarının tedavisinde bölgeye öncülük etmeye devam ediyor. Eskiden sadece açık kalp ameliyatı ile yapılabilen kapak tamiri ve değişimi, artık minimal invaziv yöntemlerle – yani göğüs kemiği kesilmeden ve büyük cerrahi yara oluşmadan – gerçekleştirilebiliyor.

Özellikle aort kapak darlıklarında, anjiyo yöntemi ile kapak değişimi olarak bilinen TAVI uygulaması uzun süredir Ada Hastanesi’nde başarıyla uygulanıyor. Ayrıca mitral kapak yetmezliklerinde MitraClip, triküspid kapak yetmezliklerinde ise Triclip yöntemi etkili bir tedavi seçeneği olarak tercih ediliyor.

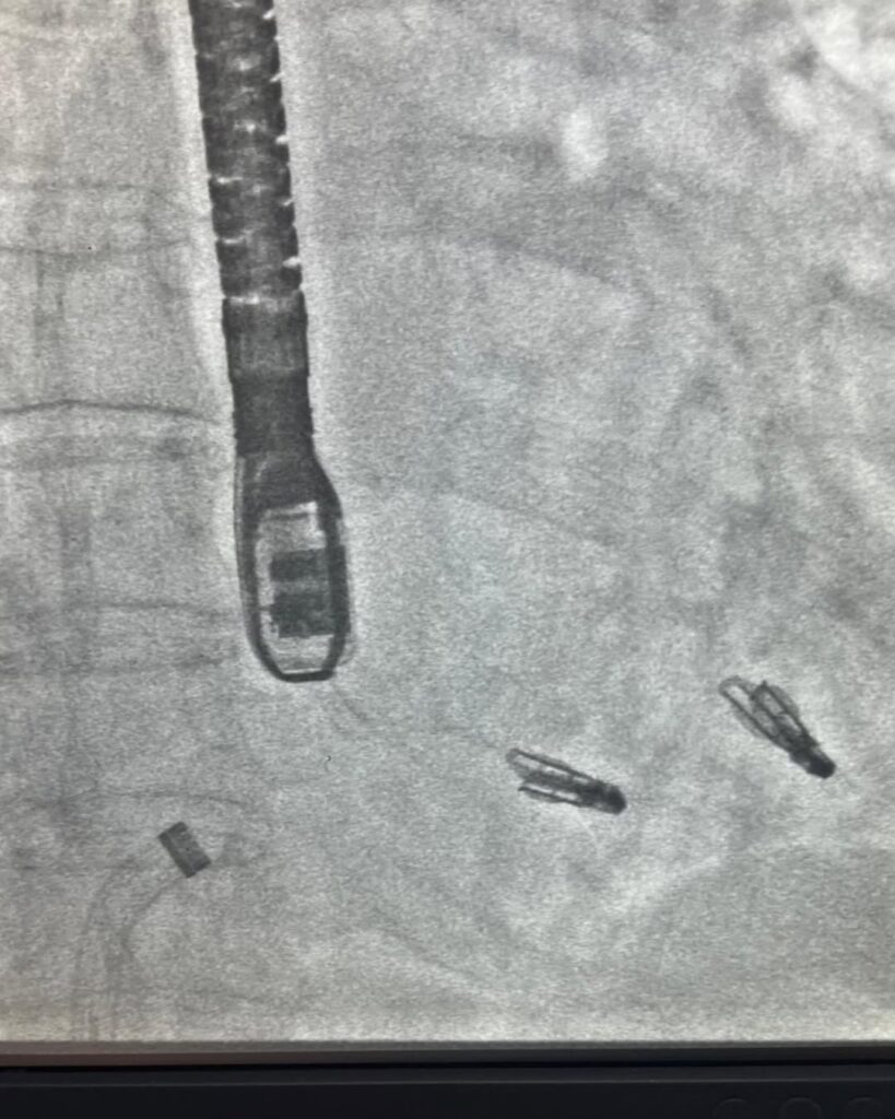
Ada Hastanesi, bölgede bir ilke imza atarak aynı seansta hem MitraClip hem Triclip uygulamasını iki hastada başarıyla gerçekleştirdi. Minimal invaziv yöntemlerin en büyük avantajı, kasık toplardamarından girilerek yapılması sayesinde hastada herhangi bir kesik veya cerrahi iz bırakmaması. Bu sayede hastalar yalnızca 1-2 gün içinde taburcu edilip kısa sürede normal yaşamlarına dönebiliyor.

Ada Hastanesi yetkilileri, bu modern tedavi yöntemlerinin artık sadece cerrahi şansı olmayan yüksek riskli hastalarda değil, aynı zamanda cerrahiye alternatif bir seçenek olarak da giderek daha fazla tercih edildiğini vurguluyor.

Kalp sağlığında yenilikçi tedavi anlayışını Giresun’a taşıyan Ada Hastanesi, bölge halkına dünya standartlarında sağlık hizmeti sunmaya devam ediyor.

Milli futbolcumuz Arda Güler Previous post MİLLİ GURURUMUZ ARDA GÜLER: REAL MADRİD FORMASIYLA BÜYÜLEMEYE DEVAM EDİYOR
Giresun Belediyesi Avrupa Birliği Next post GİRESUN’DA ALTYAPIYI GÜÇLENDİRECEK PROJE: FATİH CADDESİ’NE KANALİZASYON TERFİ MERKEZİ VE YENİ HAT ÇEKİLİYOR